specklefilt
Description
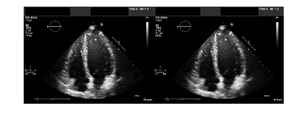
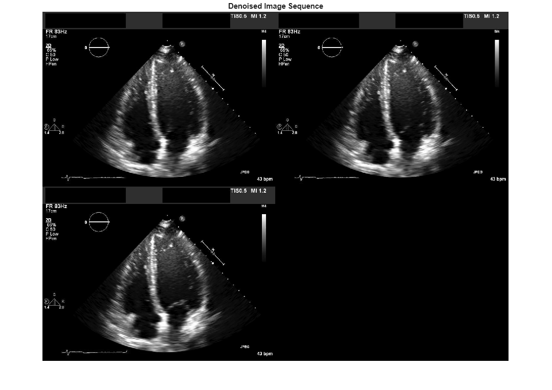
Coherent imaging modalities, such as ultrasound images, are prone to degradation
because of the interference of the transmitted waveform and its echoes. This degradation is
called speckle, and is a form of multiplicative noise. The
specklefilt function uses a speckle-reducing anisotropic diffusion (SRAD)
algorithm to reduce the speckle in an image.
Examples
Input Arguments
Name-Value Arguments
Output Arguments
Algorithms
The speckle-reducing anisotropic diffusion used in specklefilt combines
elements of speckle-reducing filters with the edge-preserving anisotropic diffusion filter
used in imdiffusefilt. This makes specklefilt useful for
edge-preserving denoising of images corrupted with speckle.
References
[1] Yongjian Yu, and S.T. Acton. “Speckle Reducing Anisotropic Diffusion.” IEEE Transactions on Image Processing 11, no. 11 (November 2002): 1260–70. https://doi.org/10.1109/TIP.2002.804276.
[2] Aja-Fernandez, S., and C. Alberola-Lopez. “On the Estimation of the Coefficient of Variation for Anisotropic Diffusion Speckle Filtering.” IEEE Transactions on Image Processing 15, no. 9 (September 2006): 2694–2701. https://doi.org/10.1109/TIP.2006.877360.
Version History
Introduced in R2022b




