Alzheimer detection
Version 1.0.0 (671 KB) by
TARUN
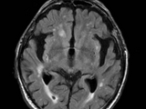
it is GUI based program used to detect Alzheimer in MRI SCAN IMAGE
Alzheimer's disease is the most common type of dementia. It is a progressive disease beginning with mild memory loss and possibly leading to loss of the ability to carry on a conversation and respond to the environment. Alzheimer's disease involves parts of the brain that control thought, memory, and language. Scientists do not yet fully understand what causes Alzheimer’s disease. There likely is not a single cause but rather several factors that can affect each person differently.Age is the best known risk factor for Alzheimer’s disease. Family history—researchers believe that genetics may play a role in developing Alzheimer’s disease. However, genes do not equal destiny. A healthy lifestyle may help reduce your risk of developing Alzheimer’s disease. Two large, long term studies indicate that adequate physical activity, a nutritious diet, limited alcohol consumption, and not smoking may help people. To learn more about the study, you can listen to a short podcast. Changes in the brain can begin years before the first symptoms appear. Researchers are studying whether education, diet, and environment play a role in developing Alzheimer’s disease. There is growing scientific evidence that healthy behaviors, which have been shown to prevent cancer, diabetes, and heart disease, may also reduce risk for subjective cognitive decline. Here’s 8 ways. What are the warning signs of Alzheimer’s disease? Alzheimer’s disease is not a normal part of aging. Memory problems are typically one of the first warning signs of Alzheimer’s disease and related dementias.
In addition to memory problems, someone with symptoms of Alzheimer’s disease may experience one or more of the following:
Memory loss that disrupts daily life, such as getting lost in a familiar place or repeating questions. Trouble handling money and paying bills. Difficulty completing familiar tasks at home, at work or at leisure. Decreased or poor judgment. Misplacing things and being unable to retrace steps to find them. Changes in mood, personality, or behavior. How is Alzheimer’s disease treated? Medical management can improve quality of life for individuals living with Alzheimer’s disease and for their caregivers. There is currently no known cure for Alzheimer’s disease. Treatment addresses several areas:
Helping people maintain brain health. Managing behavioral symptoms. Slowing or delaying symptoms of the disease.
MATLAB Release Compatibility
Created with
R2021b
Compatible with any release
Platform Compatibility
Windows macOS LinuxCategories
Find more on Neuroimaging in Help Center and MATLAB Answers
Tags
Discover Live Editor
Create scripts with code, output, and formatted text in a single executable document.
| Version | Published | Release Notes | |
|---|---|---|---|
| 1.0.0 |
